Home
/
Gallery
Gallery
Photoacoustic Microscopy (PAM)

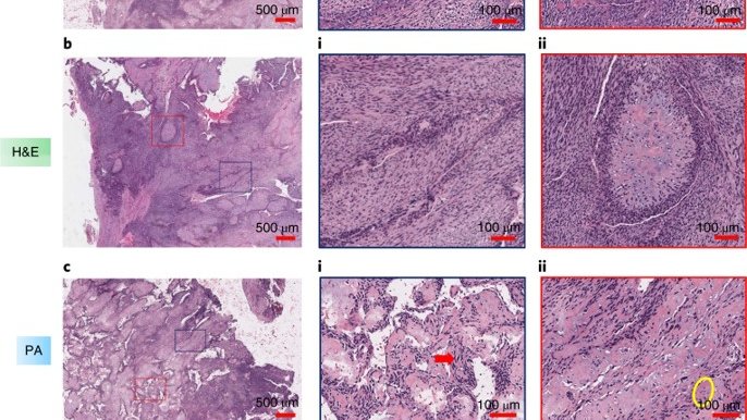
a,c, Virtual-stained PAM images of undecalcified bone sections on a glass slide. b,d, Corresponding H&E histology images. In a, close-up images show neoplastic spindle cells (denoted by many long, spindle-shaped purple nuclei, red arrow) arranged in vague streaming and fascicular patterns (i), and a nodule of neoplastic chondroid material (ii, yellow circle), corresponding to H&E histology images in b(i),(ii). In c, close-up images show ribbons of neoplastic spindle cells (i, red arrow) and disorganized osteoid, the streaky bands denoted by the yellow circle (ii), corresponding to the H&E histology images in d(i),(ii). Scale bars, 500 µm (a–d), 100 µm (in all closed-up images).

a,b, VIS-GB-PAM (a) and VIS-NB-PAM (b) of a mouse brain without a skull show the depth-encoded brain vasculature. Scale bars, 1 mm. c,d, VIS-GB-PAM (c) and VIS-NB-PAM (d) for a mouse with an intact skull show the depth-encoded brain vasculature. Scale bars, 1 mm. Both of the mouse-brain vasculature images obtained using VIS-NB-PAM show more blood vessels around the edge areas compared with conventional VIS-GB-PAM. The colour scale applies to all panels.

a,b, ULM-PAM images of lipids (a) and proteins (b). T, tubular structures; N, nucleic region. c, UV-PAM image of nucleic acids. d,e, MIR-PAM images of lipids (d) and proteins (e), imaged at 3,420 nm and 6,050 nm, respectively. f, Comparison of line profiles along the dashed lines in the ULM-PAM lipid (a), ULM-PAM protein (b), MIR-PAM lipid (d) and MIR-PAM protein (e) images. g, Composite image of a cell formed by overlaying the images of lipids (a), proteins (b) and nucleic acids (c) in different colour channels. h,i, Composite images of the cells at neonatal (h) and mature (i) stages. AB, actin bundle. Scale bars, 10 µm.

3D label-free mPAM image of an unstained mouse brain embedded in a paraffin block. a A section of the entire mouse brain image (coronal view). b A 3D view of the imaged brain block corresponding to the marked region in a. c x–y image at z = 0.16 mm (coronal view), with the cell nuclei marked in blue. The yellow dashed line outlines the boundary between the cerebrum and the cerebellum. d x–z image at y = 2.31 mm (transverse view). e y–z image at x = 0.63 mm (sagittal view)

(a) Fractional photoacoustic amplitude changes (shown in yellow) in response to left hindlimb stimulation (LHS) and right hindlimb stimulation (RHS), superimposed on the vascular image (shown in red). LH, left hemisphere; RH, right hemisphere. (b) Depth-resolved photoacoustic amplitude (PA) responses. The responding areas in the LH and RH are shown in red and blue, respectively, and superimposed on the grayscale yz projection image. The signal amplitude in the yz projection image was normalized depthwise. (c) Fast sO2 imaging before (left) and during (right) stimulations of the left hindlimb. Three 0.3 × 0.3 mm2 subregions (i, ii and iii) are further analyzed (Supplementary Fig. 17). (d) Time courses of the fractional changes in the cerebral blood flow (CBF), oxygen extraction fraction (OEF) and cerebral metabolic rate of oxygen (CMRO2) in the core responding region. The gray bars outline the stimulation periods. All the sO2 measurements were acquired with two lasers. The data in d are averaged over five tria
Image Gallery Lightbox

a,c, Virtual-stained PAM images of undecalcified bone sections on a glass slide. b,d, Corresponding H&E histology images. In a, close-up images show neoplastic spindle cells (denoted by many long, spindle-shaped purple nuclei, red arrow) arranged in vague streaming and fascicular patterns (i), and a nodule of neoplastic chondroid material (ii, yellow circle), corresponding to H&E histology images in b(i),(ii). In c, close-up images show ribbons of neoplastic spindle cells (i, red arrow) and disorganized osteoid, the streaky bands denoted by the yellow circle (ii), corresponding to the H&E histology images in d(i),(ii). Scale bars, 500 µm (a–d), 100 µm (in all closed-up images).
Download Full Image

a,b, VIS-GB-PAM (a) and VIS-NB-PAM (b) of a mouse brain without a skull show the depth-encoded brain vasculature. Scale bars, 1 mm. c,d, VIS-GB-PAM (c) and VIS-NB-PAM (d) for a mouse with an intact skull show the depth-encoded brain vasculature. Scale bars, 1 mm. Both of the mouse-brain vasculature images obtained using VIS-NB-PAM show more blood vessels around the edge areas compared with conventional VIS-GB-PAM. The colour scale applies to all panels.
Download Full Image

a,b, ULM-PAM images of lipids (a) and proteins (b). T, tubular structures; N, nucleic region. c, UV-PAM image of nucleic acids. d,e, MIR-PAM images of lipids (d) and proteins (e), imaged at 3,420 nm and 6,050 nm, respectively. f, Comparison of line profiles along the dashed lines in the ULM-PAM lipid (a), ULM-PAM protein (b), MIR-PAM lipid (d) and MIR-PAM protein (e) images. g, Composite image of a cell formed by overlaying the images of lipids (a), proteins (b) and nucleic acids (c) in different colour channels. h,i, Composite images of the cells at neonatal (h) and mature (i) stages. AB, actin bundle. Scale bars, 10 µm.
Download Full Image

3D label-free mPAM image of an unstained mouse brain embedded in a paraffin block. a A section of the entire mouse brain image (coronal view). b A 3D view of the imaged brain block corresponding to the marked region in a. c x–y image at z = 0.16 mm (coronal view), with the cell nuclei marked in blue. The yellow dashed line outlines the boundary between the cerebrum and the cerebellum. d x–z image at y = 2.31 mm (transverse view). e y–z image at x = 0.63 mm (sagittal view)
Download Full Image

(a) Fractional photoacoustic amplitude changes (shown in yellow) in response to left hindlimb stimulation (LHS) and right hindlimb stimulation (RHS), superimposed on the vascular image (shown in red). LH, left hemisphere; RH, right hemisphere. (b) Depth-resolved photoacoustic amplitude (PA) responses. The responding areas in the LH and RH are shown in red and blue, respectively, and superimposed on the grayscale yz projection image. The signal amplitude in the yz projection image was normalized depthwise. (c) Fast sO2 imaging before (left) and during (right) stimulations of the left hindlimb. Three 0.3 × 0.3 mm2 subregions (i, ii and iii) are further analyzed (Supplementary Fig. 17). (d) Time courses of the fractional changes in the cerebral blood flow (CBF), oxygen extraction fraction (OEF) and cerebral metabolic rate of oxygen (CMRO2) in the core responding region. The gray bars outline the stimulation periods. All the sO2 measurements were acquired with two lasers. The data in d are averaged over five tria
Download Full Image
Photoacoustic Computed Tomography (PACT)

PACT angiography and magnetic resonance angiography (MRA) of the same brains. a–d, Vasculatures imaged in participants 1–4 (P1–4; a–d, respectively) using the baseline PACT (left) and MRA (right). The images were segmented into the scalp (green) and cortical (red for PACT, 2D colour map for MRA) regions. The scalp and cortical images were normalized to their maximum voxel PA or MRA values (arbitrary units). e, The diameters of the selected scalp vessel (Vs) and cortical vessel (Vc) of participant 1 were quantified as the full width at half maximum (red arrows). The y axes represent the voxel amplitudes in a. The labelled scalp vessel, cortical vessel and superficial temporal arteries (STA) in a–d can be referred to for visuospatial correlation. Norm., normalized; amp., amplitude. For a–d, scale bars, 1 cm.

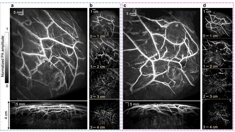
3D-PACT of human breasts in vivo. a) (top) Perspective angiogram of the right breast of a healthy human subject; (bottom) MAP image of the right breast view from the side. An imaging depth of 4 cm from the skin surface has been achieved (Supplementary Movie 3). b) Cross-sectional images of the right breast on different coronal planes from the nipple to the chest wall. Each cross-sectional image is an MAP of a 1 cm-thick slice of the breast. c-d) Left breast images of the same human subject.

SBH-PACT of healthy breasts. a) Vasculature in the right breast of a 27-year-old healthy female volunteer. Images at four depths are shown in increasing depth order from the nipple to the chest wall (also see Supplementary Movie 2). b) The same breast image with color-encoded depths. c) A close-up view of the region outlined by the magenta dashed box in b, with selected thin vessels and their line spread plots. d) A selected vessel tree with five vessel bifurcations, labeled from B1 to B5. At each bifurcation, the diameter relationships between the parent vessel (Dparent) and daughter vessels (Ddaughter) are presented on the right. X B is the junction exponent, and R B is defined as RB=D3parent/(D3daughter_a+D3daughter_b). e) Heartbeat-encoded arterial network mapping of a breast cross-sectional image (red = artery, blue = vein). f) Amplitude fluctuation in the time domain of the two pixels highlighted by yellow and green dots in e. The pixel value in the artery shows changes associated with arterial pulse pr

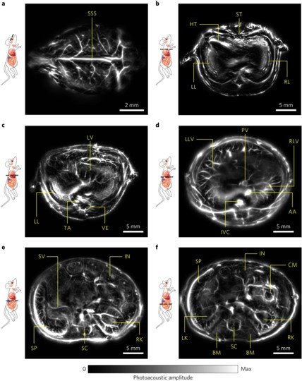
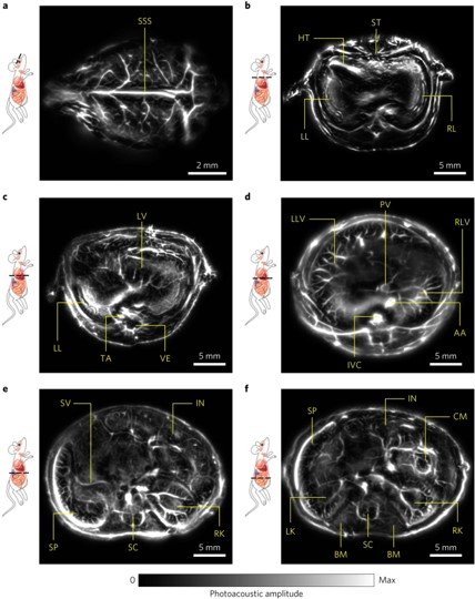
Label-free single impulse panoramic (SIP) PACT of small-animal whole-body anatomy from the brain to the trunk. a, Vasculature of the brain cortex. b–f, Cross-sectional images of the upper thoracic cavity (b; Supplementary Video 2), lower thoracic cavity (c; Supplementary Video 3), two lobes of the liver (d; Supplementary Video 4), upper abdominal cavity (e; Supplementary Video 5) and lower abdominal cavity (f; Supplementary Video 6). AA, abdominal aorta; BM, backbone muscles; CM, caecum; HT, heart; IN, intestines; IVC, inferior vena cava; LK, left kidney; LL, left lung; LLV, left lobe of liver; LV, liver; PV, portal vein; RK, right kidney; RL, right lung; RLV, right lobe of liver; SC, spinal cord; SP, spleen; SSS, superior sagittal sinus; ST, sternum; SV, splenic vein; TA, thoracic aorta; VE, vertebra.
Image Gallery Lightbox

PACT angiography and magnetic resonance angiography (MRA) of the same brains. a–d, Vasculatures imaged in participants 1–4 (P1–4; a–d, respectively) using the baseline PACT (left) and MRA (right). The images were segmented into the scalp (green) and cortical (red for PACT, 2D colour map for MRA) regions. The scalp and cortical images were normalized to their maximum voxel PA or MRA values (arbitrary units). e, The diameters of the selected scalp vessel (Vs) and cortical vessel (Vc) of participant 1 were quantified as the full width at half maximum (red arrows). The y axes represent the voxel amplitudes in a. The labelled scalp vessel, cortical vessel and superficial temporal arteries (STA) in a–d can be referred to for visuospatial correlation. Norm., normalized; amp., amplitude. For a–d, scale bars, 1 cm.
Download Full Image

3D-PACT of human breasts in vivo. a) (top) Perspective angiogram of the right breast of a healthy human subject; (bottom) MAP image of the right breast view from the side. An imaging depth of 4 cm from the skin surface has been achieved (Supplementary Movie 3). b) Cross-sectional images of the right breast on different coronal planes from the nipple to the chest wall. Each cross-sectional image is an MAP of a 1 cm-thick slice of the breast. c-d) Left breast images of the same human subject.
Download Full Image

SBH-PACT of healthy breasts. a) Vasculature in the right breast of a 27-year-old healthy female volunteer. Images at four depths are shown in increasing depth order from the nipple to the chest wall (also see Supplementary Movie 2). b) The same breast image with color-encoded depths. c) A close-up view of the region outlined by the magenta dashed box in b, with selected thin vessels and their line spread plots. d) A selected vessel tree with five vessel bifurcations, labeled from B1 to B5. At each bifurcation, the diameter relationships between the parent vessel (Dparent) and daughter vessels (Ddaughter) are presented on the right. X B is the junction exponent, and R B is defined as RB=D3parent/(D3daughter_a+D3daughter_b). e) Heartbeat-encoded arterial network mapping of a breast cross-sectional image (red = artery, blue = vein). f) Amplitude fluctuation in the time domain of the two pixels highlighted by yellow and green dots in e. The pixel value in the artery shows changes associated with arterial pulse pr
Download Full Image

Label-free single impulse panoramic (SIP) PACT of small-animal whole-body anatomy from the brain to the trunk. a, Vasculature of the brain cortex. b–f, Cross-sectional images of the upper thoracic cavity (b; Supplementary Video 2), lower thoracic cavity (c; Supplementary Video 3), two lobes of the liver (d; Supplementary Video 4), upper abdominal cavity (e; Supplementary Video 5) and lower abdominal cavity (f; Supplementary Video 6). AA, abdominal aorta; BM, backbone muscles; CM, caecum; HT, heart; IN, intestines; IVC, inferior vena cava; LK, left kidney; LL, left lung; LLV, left lobe of liver; LV, liver; PV, portal vein; RK, right kidney; RL, right lung; RLV, right lobe of liver; SC, spinal cord; SP, spleen; SSS, superior sagittal sinus; ST, sternum; SV, splenic vein; TA, thoracic aorta; VE, vertebra.
Download Full Image
Microwave Induced Thermoacoustic Tomography (TAT)

Thermoacoustic images of two excised whole breasts (mastectomy specimens). (a) Schematic of thermoacoustic tomography of a mastectomy specimen. (b) One-dimensional thermoacoustic imaging across a tumor region. (c) Thermoacoustic image of one mastectomy specimen. Darker area indicates higher microwave absorption in cancerous region. (d) Digital radiograph of the mastectomy specimen with the same view orientation as in (c). The white line is a localizing wire placed into the lesion for sample orientation. (e) Thermoacoustic image of another mastectomy specimen. (f) Digital radiograph of the mastectomy specimen with the same view orientation as in (e).

Reconstructed images for breast specimen I. (a) DAS-C. (b) DAS-E1. (c) DAS-E2. (d) RCB-E2, with e = 0.5M. (e) DAS-P. (f) ARMOR-P, with e = 0.5M. (g) DAS-PP. (h) ARMOR-PP, with e = 0.5M. (i) X-ray image. (j) Inverse solution.

TAT image of the axial imaging plane. The top of represents the rear part of the head.
Image Gallery Lightbox

Thermoacoustic images of two excised whole breasts (mastectomy specimens). (a) Schematic of thermoacoustic tomography of a mastectomy specimen. (b) One-dimensional thermoacoustic imaging across a tumor region. (c) Thermoacoustic image of one mastectomy specimen. Darker area indicates higher microwave absorption in cancerous region. (d) Digital radiograph of the mastectomy specimen with the same view orientation as in (c). The white line is a localizing wire placed into the lesion for sample orientation. (e) Thermoacoustic image of another mastectomy specimen. (f) Digital radiograph of the mastectomy specimen with the same view orientation as in (e).
Download Full Image

Reconstructed images for breast specimen I. (a) DAS-C. (b) DAS-E1. (c) DAS-E2. (d) RCB-E2, with e = 0.5M. (e) DAS-P. (f) ARMOR-P, with e = 0.5M. (g) DAS-PP. (h) ARMOR-PP, with e = 0.5M. (i) X-ray image. (j) Inverse solution.
Download Full Image

TAT image of the axial imaging plane. The top of represents the rear part of the head.
Download Full Image
Wavefront Shaping (WFS)

a, Illustration of the concept. Light from an SLM is focused onto a moving target inside a scattering medium. b, Experimental arrangement. c, Distribution of focal light intensity. d, Speckle pattern observed on the SLM surface during the probing process. Scale bars, 500 µm.

(a) The speckle correlation coefficient as a function of time for a living-mouse ear. Three speckle decorrelation characteristics were identified. (b) The speckle correlation curves measured at five locations on the mouse ear. The speckle correlation time (τc) determined from the curves ranged from less than 0.44–10 ms. When the blood flow was blocked, τc became much larger. (c) Schematic of the set-up for imaging an absorptive target placed between a living-mouse ear and a diffuser. The target was scanned along the x direction. Inset: a photo showing the right ear of a mouse used as a dynamic scattering medium. The left ear was bent downwards to avoid blocking the light. Aluminium foil tapes were used to block the light that did not pass through the right ear. (d) 1D images of the absorptive target. The circles and diamonds denote experimental data. The solid line denotes curve fitting of the experimental data. The dotted line denotes the four-point moving average of the experimental data. AT, absorptive tar

a, Schematic of the PAWS experimental set-up. PBS, polarized beamsplitter; SLM, spatial light modulator; λ/2, half-wave plate. b, Illustration of the two-stage optimization procedure (see Supplementary Movies 1 and 2 for more information). Stage 1: linear PAWS focuses light into the acoustic focal region. Stage 2: nonlinear PAWS focuses light onto a single-speckle grain. Blue dashed circles represent the acoustic focal region. A typical intensity distribution (green solid line) is shown above the speckle illustrations. Blue dashed envelopes represent acoustic sensitivity.

a, The probe beam scattered through the scattering medium is collected and directed to a gain module, which is composed of a gain medium and a pump source. The weak scattered photons are amplified in the gain module by stimulated emission light amplification and subsequently interfere with a reference beam to form a volume hologram inside of the PRC. b, Illustration of stimulated emission light amplification in a typical four-level gain medium, as used in our experiments; E1–E4 denote the simplified four energy levels involved in the stimulated emission light amplification. c, Reading the hologram inside of the PRC using a conjugated reference beam results in a weak time-reversed beam, which retraces its trajectory through the gain module and gains energy without change to its wavefront. After propagating through the scattering medium, the amplified time-reversed beam converges to the guidestar position. d, An example of the original time-reversed focus without the gain module, compared with the result of the
Image Gallery Lightbox

a, Illustration of the concept. Light from an SLM is focused onto a moving target inside a scattering medium. b, Experimental arrangement. c, Distribution of focal light intensity. d, Speckle pattern observed on the SLM surface during the probing process. Scale bars, 500 µm.
Download Full Image

(a) The speckle correlation coefficient as a function of time for a living-mouse ear. Three speckle decorrelation characteristics were identified. (b) The speckle correlation curves measured at five locations on the mouse ear. The speckle correlation time (τc) determined from the curves ranged from less than 0.44–10 ms. When the blood flow was blocked, τc became much larger. (c) Schematic of the set-up for imaging an absorptive target placed between a living-mouse ear and a diffuser. The target was scanned along the x direction. Inset: a photo showing the right ear of a mouse used as a dynamic scattering medium. The left ear was bent downwards to avoid blocking the light. Aluminium foil tapes were used to block the light that did not pass through the right ear. (d) 1D images of the absorptive target. The circles and diamonds denote experimental data. The solid line denotes curve fitting of the experimental data. The dotted line denotes the four-point moving average of the experimental data. AT, absorptive tar
Download Full Image

a, Schematic of the PAWS experimental set-up. PBS, polarized beamsplitter; SLM, spatial light modulator; λ/2, half-wave plate. b, Illustration of the two-stage optimization procedure (see Supplementary Movies 1 and 2 for more information). Stage 1: linear PAWS focuses light into the acoustic focal region. Stage 2: nonlinear PAWS focuses light onto a single-speckle grain. Blue dashed circles represent the acoustic focal region. A typical intensity distribution (green solid line) is shown above the speckle illustrations. Blue dashed envelopes represent acoustic sensitivity.
Download Full Image

a, The probe beam scattered through the scattering medium is collected and directed to a gain module, which is composed of a gain medium and a pump source. The weak scattered photons are amplified in the gain module by stimulated emission light amplification and subsequently interfere with a reference beam to form a volume hologram inside of the PRC. b, Illustration of stimulated emission light amplification in a typical four-level gain medium, as used in our experiments; E1–E4 denote the simplified four energy levels involved in the stimulated emission light amplification. c, Reading the hologram inside of the PRC using a conjugated reference beam results in a weak time-reversed beam, which retraces its trajectory through the gain module and gains energy without change to its wavefront. After propagating through the scattering medium, the amplified time-reversed beam converges to the guidestar position. d, An example of the original time-reversed focus without the gain module, compared with the result of the
Download Full Image
Compressed Ultrafast Photography (CUP)

Compressed Ultrafast Photography works by encoding the spatial domain with a pseudo-random binary pattern, followed by a shearing operation in the temporal domain, performed using a streak camera with a fully opened entrance slit.

Reconstructed video shows a single laser pulse (532 nm wavelength, 7 ps pulse duration) split by a 50:50 beam splitter, imaged by T-CUP at 2.5 Tfps

First recorded video of optical mach cone captured using Compressed Ultrafast Photography (CUP)

80-Tfps imaging of a laser-induced filament in glass.

Electrical pulses in myelinated axons imaged at 20 million frames per second.
Image Gallery Lightbox

Compressed Ultrafast Photography works by encoding the spatial domain with a pseudo-random binary pattern, followed by a shearing operation in the temporal domain, performed using a streak camera with a fully opened entrance slit.
Download Full Image

Reconstructed video shows a single laser pulse (532 nm wavelength, 7 ps pulse duration) split by a 50:50 beam splitter, imaged by T-CUP at 2.5 Tfps
Download Full Image

First recorded video of optical mach cone captured using Compressed Ultrafast Photography (CUP)
Download Full Image

80-Tfps imaging of a laser-induced filament in glass.
Download Full Image

Electrical pulses in myelinated axons imaged at 20 million frames per second.
Download Full Image
Photographs

May 1, 2025. Nobel Laureate Eric Betzig at Caltech as a MedE Distinguished Speaker. Clockwise from right: Prof. Lihong Wang introduces Prof. Betzig; Prof. Betzig during his talk; Prof. Betzig interacting with the COIL graduate students.

December 19, 2024. COIL members gathered for our annual holiday party at a local park.

December 11, 2023. COIL members gathered for our annual holiday party at a local park.

June 20, 2023. Congratulations to Peng on his graduation and Karteek on his publication!!

March 7, 2023. COIL quantum team celebrating the publications of their first set of papers in quantum imaging and physics at Caltech's Athenaeum.

December 9, 2022. COIL lab members gathered for our annual holiday party at Caltech's Moore Courtyard.

December 6, 2019. COIL lab members gathered for our annual holiday party at a local park.

February 12, 2019. AIMBE fellows at Capitol Hill advocating for federal funding for engineering and medicine. Left to right: Lihong Wang (Caltech), Shuvo Roy (UCSF), Kent Leach (UC Davis), Bruce Wheeler (UCSD), and Adam Schiff (Congressman).

December 15, 2018. COIL lab members gathered for our annual holiday party at a local restaurant.

April 27, 2017. View of the corridor leading to our research labs here at Caltech.

April 27, 2017. Group members spelling out the name of our lab 'COIL'

April 27, 2017. Group photo of the lab prior to our first Caltech open house.

December 21, 2012. Lab members, families, and special guests partying at a St. Louis restaurant.

December 10, 2010. Some lab members and families partying at the Wang residence.

December 19, 2009. Some lab members and families partying at the Wang residence.

December 31, 2008. Lab members in town at the New Year's Eve party at the Wang residence.

November 29, 2006. Department Chair Frank Yin (left), Lihong Wang (middle), and Chancellor Mark Wrighton at the inaugural Gene K. Beare Distinguished Chair Installation ceremony, Washington University, St. Louis, Missouri.

May 1992. Rick Smalley (left) and Lihong Wang at 1992 Rice Commencement, Houston, Texas.
Image Gallery Lightbox

May 1, 2025. Nobel Laureate Eric Betzig at Caltech as a MedE Distinguished Speaker. Clockwise from right: Prof. Lihong Wang introduces Prof. Betzig; Prof. Betzig during his talk; Prof. Betzig interacting with the COIL graduate students.
Download Full Image

December 19, 2024. COIL members gathered for our annual holiday party at a local park.
Download Full Image

December 11, 2023. COIL members gathered for our annual holiday party at a local park.
Download Full Image

June 20, 2023. Congratulations to Peng on his graduation and Karteek on his publication!!
Download Full Image

March 7, 2023. COIL quantum team celebrating the publications of their first set of papers in quantum imaging and physics at Caltech's Athenaeum.
Download Full Image

December 9, 2022. COIL lab members gathered for our annual holiday party at Caltech's Moore Courtyard.
Download Full Image

December 6, 2019. COIL lab members gathered for our annual holiday party at a local park.
Download Full Image

February 12, 2019. AIMBE fellows at Capitol Hill advocating for federal funding for engineering and medicine. Left to right: Lihong Wang (Caltech), Shuvo Roy (UCSF), Kent Leach (UC Davis), Bruce Wheeler (UCSD), and Adam Schiff (Congressman).
Download Full Image

December 15, 2018. COIL lab members gathered for our annual holiday party at a local restaurant.
Download Full Image

April 27, 2017. View of the corridor leading to our research labs here at Caltech.
Download Full Image

April 27, 2017. Group members spelling out the name of our lab 'COIL'
Download Full Image

April 27, 2017. Group photo of the lab prior to our first Caltech open house.
Download Full Image

December 21, 2012. Lab members, families, and special guests partying at a St. Louis restaurant.
Download Full Image

December 19, 2009. Some lab members and families partying at the Wang residence.
Download Full Image

December 31, 2008. Lab members in town at the New Year's Eve party at the Wang residence.
Download Full Image

November 29, 2006. Department Chair Frank Yin (left), Lihong Wang (middle), and Chancellor Mark Wrighton at the inaugural Gene K. Beare Distinguished Chair Installation ceremony, Washington University, St. Louis, Missouri.
Download Full Image

May 1992. Rick Smalley (left) and Lihong Wang at 1992 Rice Commencement, Houston, Texas.
Download Full Image
To access the older photos, click on the zoom icon at the bottom-right of the photo and then use the navigation arrows.